SBS 뉴스

뉴스 > 사회

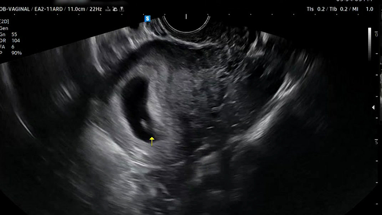
[사건X파일] 멀쩡한 태아 "긁어내라" 오진…아기 잃을 뻔한 부부

입력 : 2026.01.15 19:54|수정 : 2026.01.15 20:55

동영상

[뉴스헌터스]

인터뷰를 인용보도할 때는 프로그램명 'SBS <뉴스헌터스>'를 정확히 밝혀주시기 바랍니다. 저작권은 SBS에 있습니다.

■ 방송 : SBS <뉴스헌터스> 월~금 (18:50~19:50)
■ 진행 : 김종원, 윤태진 앵커
■ 대담 : 이지윤 변호사, 이경민 변호사
--------------------------------------------

※ 자세한 내용은 동영상으로 확인하실 수 있습니다.

(SBS 디지털뉴스부)
SBS 뉴스